Straighter Teeth
Straightening teeth quickly and effectively in Wickford
Brace treatment is considered a more acceptable treatment nowadays. It doesn’t have to interfere with your lifestyle, doesn’t cause you pain and has no effect on your appearance. With so many systems available your teeth can be straightened in as little as 6 weeks.
Only those over the age of 18 would be considered for this treatment as this gives your teeth time to align into their permanent position. We will then be able to tell which system is best for you.
New generation orthodontics

Those whose teeth are misaligned could potentially be at risk from dental problems such as decay. When teeth are crowded it is very difficult to keep your teeth clean, therefore you may not be removing all the plaque from the surfaces of your teeth, as well as in between your teeth.
Having your teeth straightened will not only help with this, but also give you more of an attractive smile.
At Cygnet Dental Practice we have a range of brace systems available, all to suit different situations. Those available include fixed and removable options.
The fixed option works the same way as the traditional metal braces, except the brackets and wires visible are tooth coloured so therefore more discreet.
The removable option includes a series of clear aligners or a single aligner that only straightens your front four teeth. This is the brace that can straighten your teeth in as little as 6 weeks.
Invisalign
Invisalign is a brace system that works by a series of aligners. These clear trays work by slowly moving your teeth bit by bit. Your first stage usually consists of about 8 aligners. These are changed every week. When you come to your last aligner you dentist will have you next stage made. Because it is carried out this way, treatment can become lengthy averaging approximately 18 months to complete.
Each tray needs to be worn for at least 22 hours a day to achieve the full effect. Anything less could result in the treatment taking longer to complete.
These custom made trays are very comfortable to wear and are extremely discreet. They will need to be removed when eating and drinking.
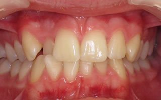
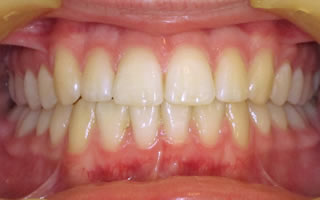
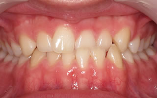
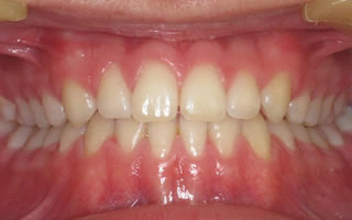
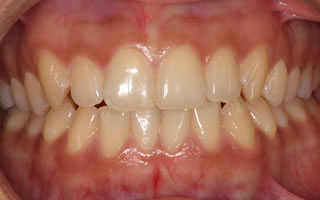
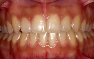
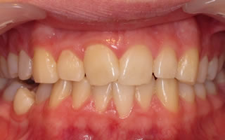
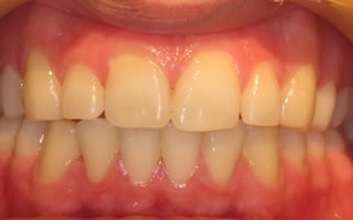
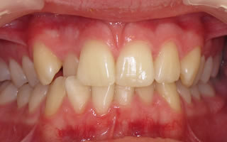
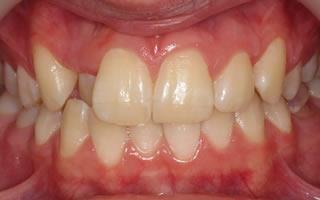
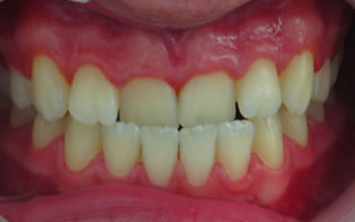
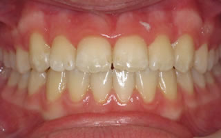
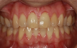
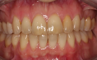
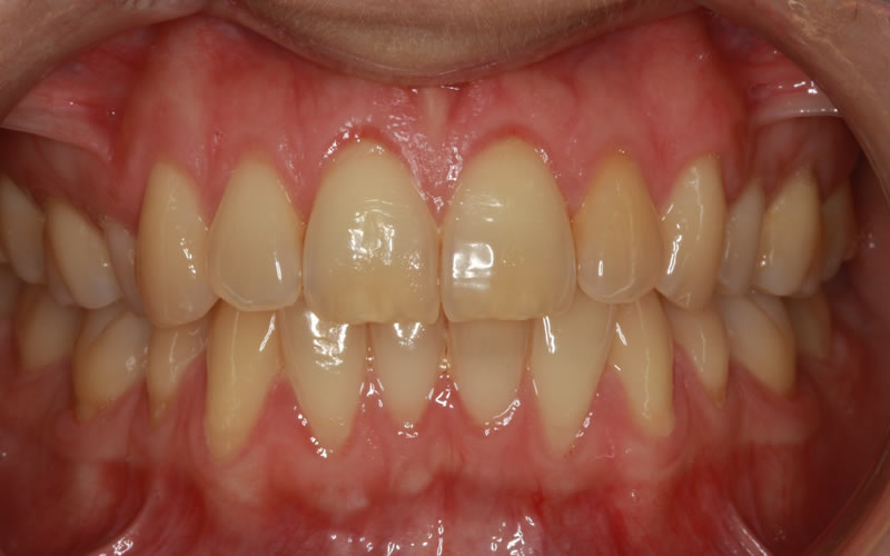
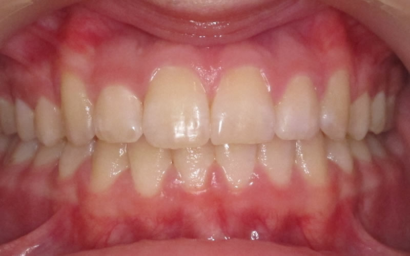
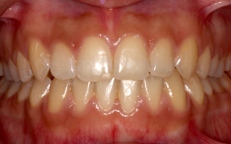
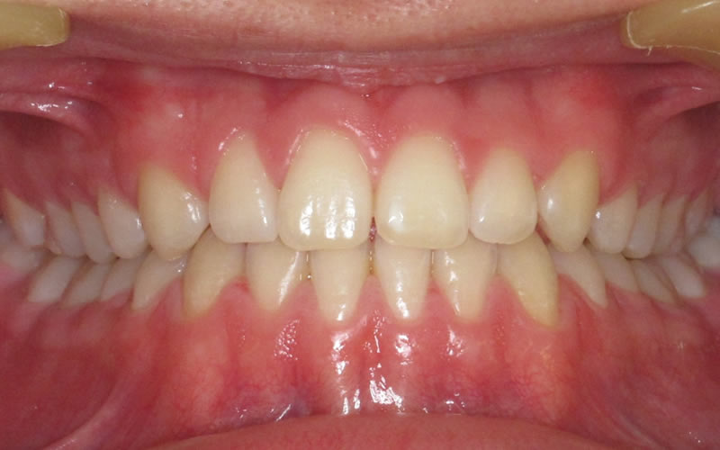
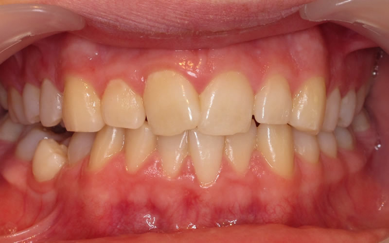
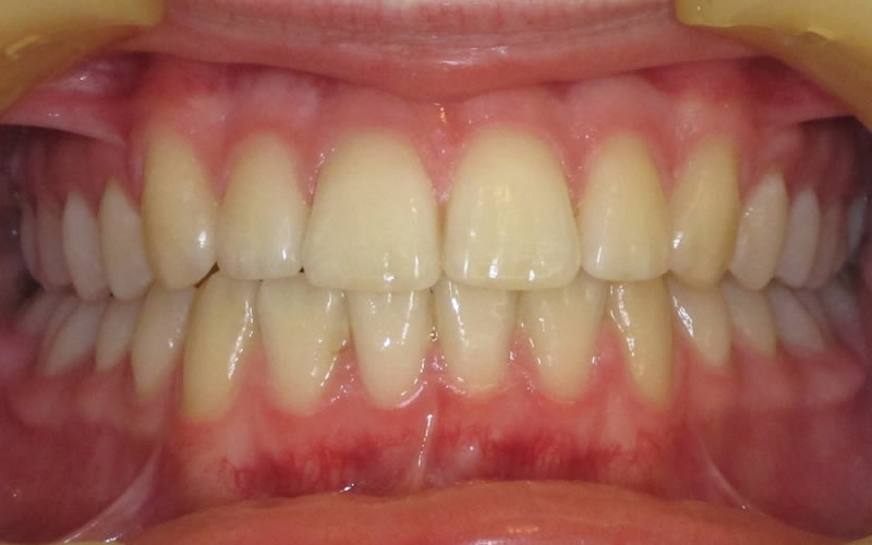
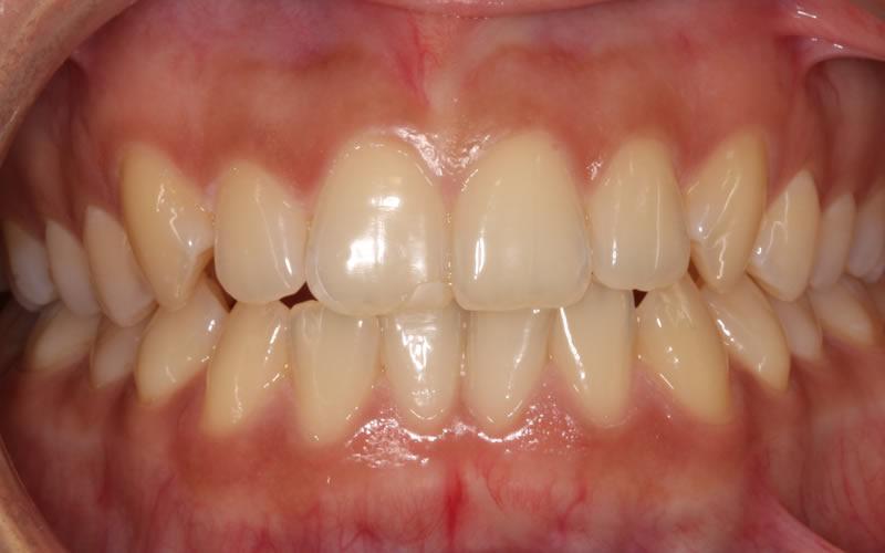
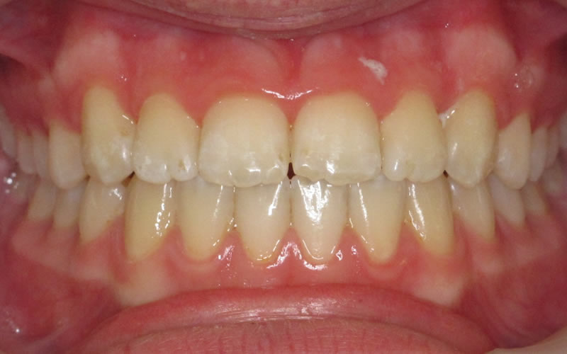
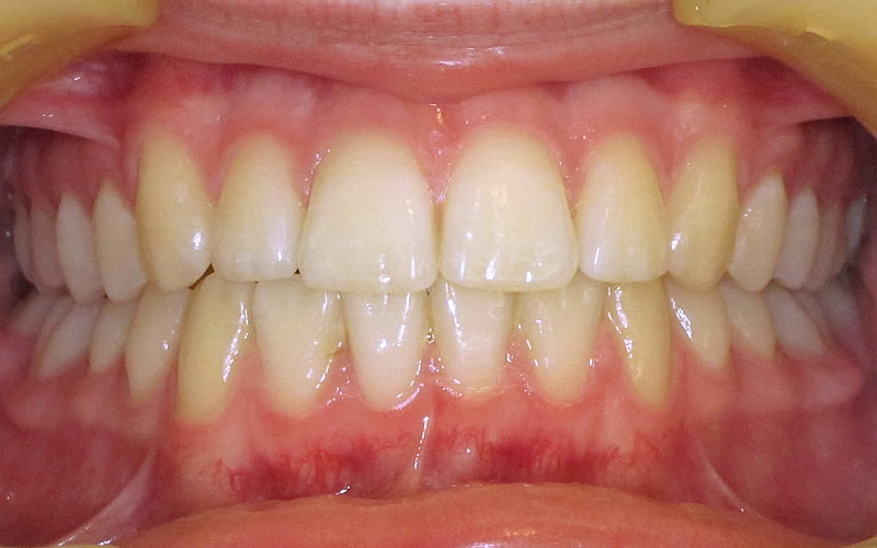
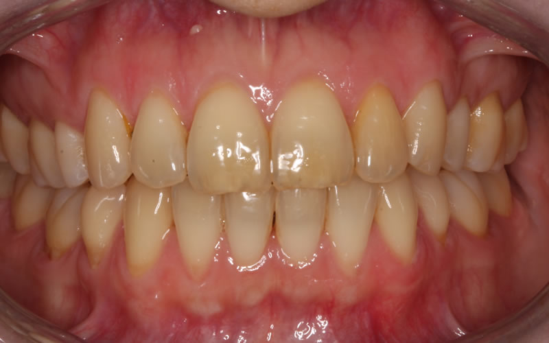
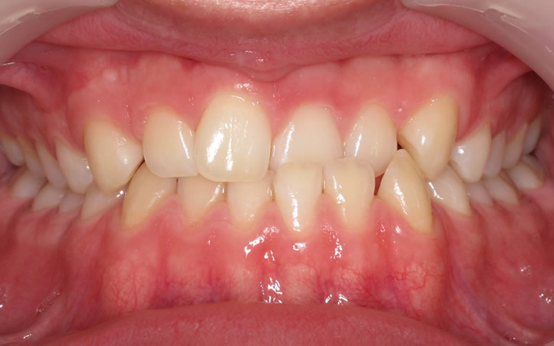
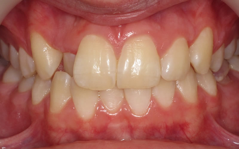
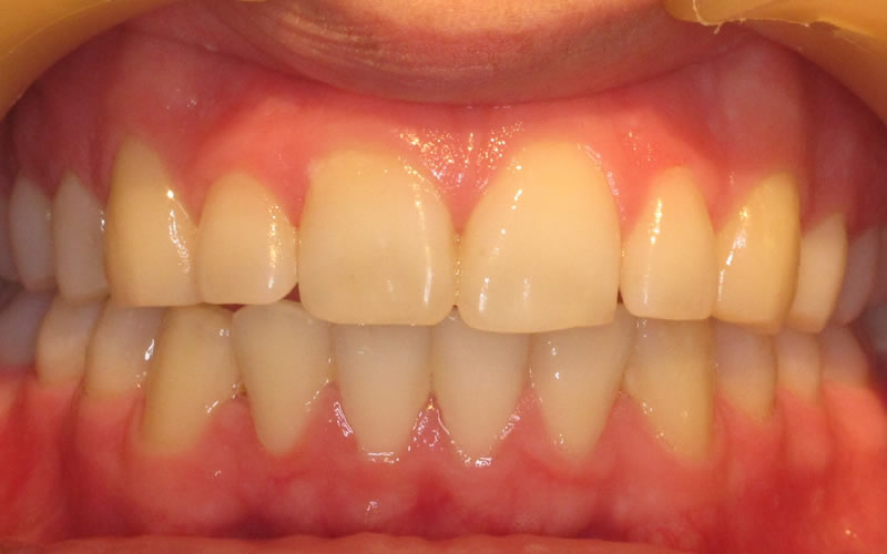
Case Studies
The photographs below are case studies of patients who have had treatment carried out at Cygnet Dental Practice.
These will show how the patients looked before and after treatment. Using the arrows you can move along to the next picture. Clicking on the picture will enlarge it giving you more detail.
Orthodontics Cases - (8 cases showing before and after)


















