Dental Crowns & Bridges

Durable repair for broken teeth in Wickford
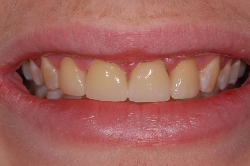
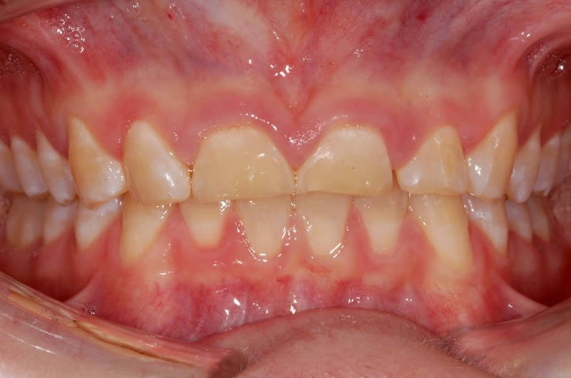
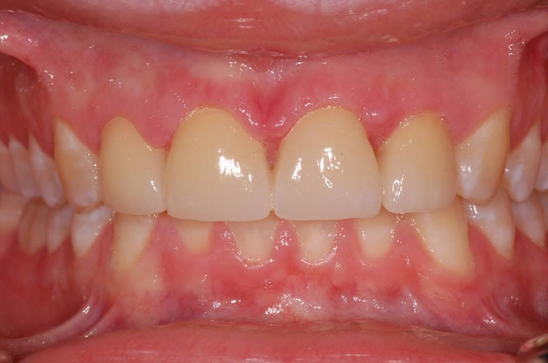
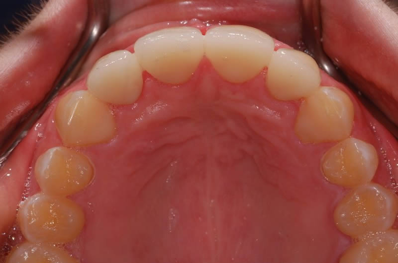
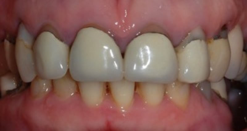
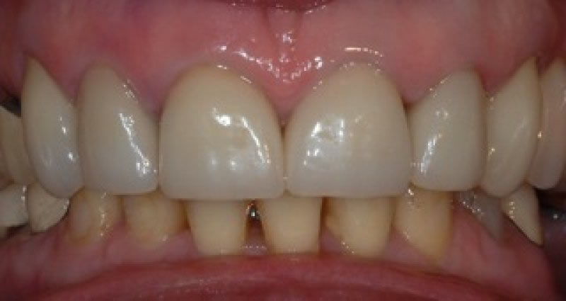
Dental Crowns and Bridges are a fixed and permanent prosthetic.
Dental Crowns provide strength and protection to broken and damaged teeth, whereas Dental Bridges are a fantastic option when replacing missing teeth.
Dental Crowns
In most instances a crown is placed when a tooth needs protection. This could be due to a large filling being present, if the tooth is at risk of fracture or if the tooth has become damaged through trauma. A crown is also advised after having Root Canal Treatment as this weakens the tooth.
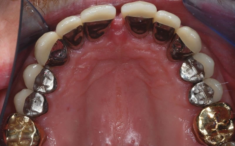
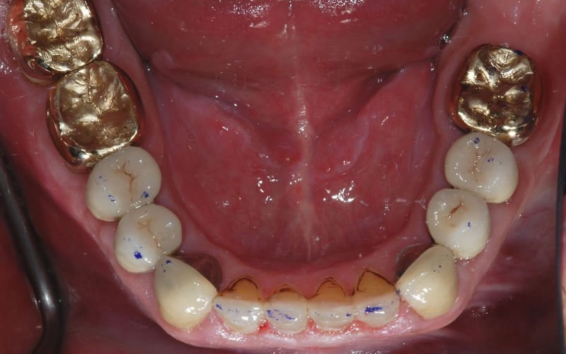
A Crown, also known as a Cap, can be made from porcelain or metal or a combination of both. They can also be made from gold.
Under a local anaesthetic the Dentist will prepare your tooth to make space for the crown to fit over. Impressions are taken and sent to the laboratory who will be fabricating your crown. The shade of your existing teeth is taken so your new crown can be matched accordingly. It takes approximately 2 weeks for a crown to be made so in the meantime you will have a temporary crown.
When your new crown is ready, we remove the temporary crown and permanently cement your new crown in place.
A crown is usually advised after having Root Canal Treatment. This treatment weakens the tooth therefore protection is needed.
Case Studies
Dental Crowns (7 images)
Upper crowns and lower composites (4 images)
Dental Crown work ( 2 images)














